Caso Clínico 1
Caso clínico
1 Motociclista
de 22 años, que presenta accidente contra camión que ingresa a sala de
urgencias de hospital nacional y los médicos al valorarlo observan traumatismo
sangrante en cabeza y en cara a nivel del frontal y nariz además de traumatismo
cerrado en tórax y abdomen.
Medico del servicio de urgencia solicita:
1. Radiografía de huesos propios de la nariz
PROYECCIÓN
|
CHASIS
|
RC
|
DX
|
POSICIÓN PACIENTE
|
POSICIÓN ESTRUCTURAL
|
CRITERIOS DE EVALUACIÓN
|
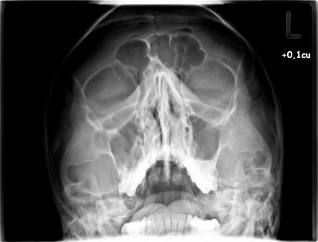
WATERS
|
8*10 a lo largo
|
Dirigir el RC que salga por un punto
equidistante entre la nasión y el acantion
|
Traumatismo de tercio medio facial y fosas
nasales
|
Bipedestación, sentado o decúbito prono
|
Extender la
barbilla del paciente en apoyo sobre la mesa.
Ajustar la cabeza
de manera que la LOM forme un ángulo de 37° con el plano de la placa
|
El tabique nasal
óseo debe observarse sin rotación.
Debe apreciarse la
colimación estricta
|
LATERAL
|
8*10 dividida transversalmente por la mitad
|
Dirigir el RC al plano de la placa, en el
puente nasal 2 cm distal al nasión
|
Trauma, Obstrucción
|
Decúbito semiprono
|
Situar la cabeza en
posición lateral.
Colocar la cabeza
para que la línea interpupilar sea la plano de la placa ajustar el grado de
flexión de la cabeza para que LIOM quede paralela al eje trasversal de chasis
|
Ambos huesos
nasales deben de quedar superpuestos.
El hueso nasal más
próximo a la placa debe de mostrar una mejor definición.
Debe de
visualizarse las partes blandas de la nariz.
Debe apreciarse la
colimación estricta
|
Imagen waters
Imagen lateral
2. Radiografía de tórax por posible neumotorax o hemotorax
PROYECCIÓN
|
CHASIS
|
RC
|
DX
|
POSICIÓN PACIENTE
|
POSICIÓN ESTRUCTURAL
|
CRITERIOS DE EVALUACIÓN
|
PA
|
14*17
A lo largo
|
Dirigir el RC al plano de la placa de
manera que penetre en el plano mediosagital del cuerpo a nivel de T6 o de la
punta de la escapula
|
Dolor
torácico, Trauma, Derrame pleural
|
Bipedestación
|
Centrar el plano sagital medio sobre el
chasis.
Colocar el borde superior del chasis 5cm
por encima de los hombros.
Extender el mentón.
Los codos estar flexionados y con ambas
manos sobre las caderas.
Bajar los hombros dirigiéndolos hacia
delante.
|
Los campos pulmonares deben observarse en
su totalidad desde el apex hasta los senos costodiafragmaticos y sin
movimiento.
Los pulmones y el corazón deben de aparecer
sin rotación.
Han de proyectarse 10 pares de costillas
por encima del diafragma.
Las escapulas no deben superponerse a los
pulmones.
Los pulmones deben observarse con contraste
óptimo.
La sombra aérea de la tráquea debe de verse
centrada sobre la columna vertebral.
|
LATERAL
|
14*17
a lo largo
|
Dirigir
el RC al plano de la placa incidiendo sobre la línea media del tórax a nivel
de T6
|
Dolor
torácico, Trauma, Derrame pleural
|
Bipedestación
|
El plano sagital medio debe de ser paralelo
al chasis.
Colocar el borde superior del chasis 5cm
por encima de los hombros.
Centrar el tórax sobre el chasis.
Elevar los hombros, flexionar los codos y
colocar ambos antebrazos por encima de la cabeza.
Extender el mentón
|
Los arcos costales superiores deben
superponerse a la columna vertebral y a de observarse el esternón.
Deben observarse los senos
costodiafragmaticos como los vértices pulmonares.
Los hilos pulmonares deben ocupar aproximadamente
el centro de la radiografía.
Los pulmones, el corazón y el diafragma han
de verse con toda nitidez y sin movimiento.
El eje longitudinal del pulmón debe seguir
el eje longitudinal anatómico.
|
Imagen pa de tórax
Imagen lateral de tórax
3.Radiografía de tórax por trauma o pacientes imposibilitados
PROYECCION
|
CHASIS
|
RC
|
DX
|
POSICIÓN PACIENTE
|
POSICIÓN ESTRUCTURAL
|
CRITERIOS DE EVALUACIÓN
|
AP
|
14
X 17
|
Dirigir
el RC desde la 1 a la 6 vertebra torácica
|
Trauma, dolor,
derrame pleural
|
Decúbito supino
|
Colocar el chasis debajo de la espalda del
paciente y ajustarlo de manera que su borde superior se halle 5 cm por encima
de los hombros, centrar plano medio respecto al chasis extender el mentón por
encima de los hombros
|
La imagen debe incluirse la totalidad de
los campos
pulmonares desde el ápex hasta los senos
costos
diafragmáticos debe observarse nítida y sin
movimientos,
la silueta del corazón y los grandes vasos están
magnificados puesto que el corazón
se halla a mayor distancia que la placa que
en la proyección PA
|
Imagen ap de tórax
4.Radiografía de abdomen
PROYECCIÓN
|
CHASIS
|
RC
|
DX
|
POSICIÓN PACIENTE
|
POSICIÓN ESTRUCTURAL
|
CRITERIOS DE EVALUACIÓN
|
AP VERTICAL
|
17 X 14 a lo largo
con buky
|
Dirigir
el RC de 1 a 5 cm por encima de las crestas iliacas
|
Traumas, dolor
|
Bipedestación
|
Pacientes
de pie con laspiernas separadas y espalda pegada al buky
|
La
columna vertebral debe estar alineada, con el centro de la radiografía, las
costillas, pelvis y la cadera deben estar equidistantes al borde de la radiografía,
visualizar desde abdomen hasta sínfisis púbica
|
LATERAL
|
14*17 a lo largo
|
dirigir
el rayo central horizontal entrando por el plano sagital medio del abdomen a
5 cm por encima de las crestas iliacas
|
Trauma
|
decúbito lateral
|
Colocar al
paciente decúbito lateral.Hacer que eleve los brazos y los coloque en
la cabeza.
Flexionar discretamente las rodillas para
estabilizar al paciente.
Ajustar su posición de manera que tanto los
hombros como las caderas queden en superposición
|
El
diafragma debe aparecer inmóvil.
Si
se incluye ambos lados debe de observarse el bazo, los riñones los músculos
psoas y el borde inferior hepático. Debe observarse si hay niveles
hidroaereos intestinales o neumoperitoneo libre.
|
Imagen ap de abdomen
Imagen lateral de abdomen




Hard Rock Hotel & Casino - Mapyro
ResponderBorrarFind 경상남도 출장마사지 your way around the casino, find where everything 목포 출장샵 is located with 경상남도 출장샵 our driving directions and road conditions – from 원주 출장샵 casinos to 천안 출장마사지 dining options. Find the